Skip Menu
Continue
  • 193 Main St,
  • Middletown, CT 06457
  • Home
  • About Us
    • Our Office
    • Smile Gallery
    • Dental Videos
    • Testimonials
  • Our Doctor
    • Laurence K. Levy, DMD
    • Our Team
  • Services
      • Ceramic Crowns
      • Dental Bridges
      • Dental Fillings
      • Dentures
      • Digital Radiography
      • Emergency Treatment
      • Extractions
      • Implant Dentistry
      • Night Guards
      • Oral Cancer Screening
      • Pediatric Dentistry
      • Periodontal Treatment
      • Root Canals
      • Sleep Apnea
      • Sports Mouthguards
      • Teeth Whitening
      • TMJ Disorders
      • Veneers
    • View All
  • New Patients
  • Dental Health
  • Contact
    • Contact Us
    • Request Appointment

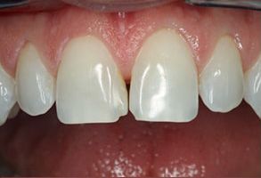
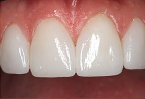
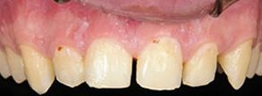
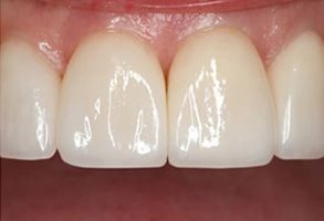
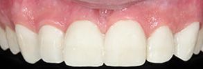
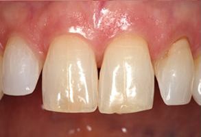
Smile Gallery

Additional Information

Our Location

193 Main St
Middletown, CT 06457
Existing Patients:(860) 347-4500
New Patients:(860) 398-5432

Follow Us